Luxação esternoclavicular
A articulação esternoclavicular permite a movimentação entre a clavícula e o tronco, através do osso esterno. É uma articulação pequena, com pouca estabilidade óssea e que depende muito dos ligamentos para permanecer estável. Luxações da esternoclavicular são extremamente raras, inferior a 3% das luxações da cintura escapular. A maioria dessas luxações é causada por acidentes […]
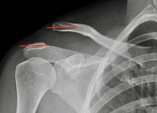
Luxação acromioclavicular
O que é e como ocorre a luxação acromioclavicular (LAC)? A articulação acromioclavicular está localizada na parte superior do ombro, na extremidade mais lateral da clavícula. Esta articulação é crucial, pois a clavícula é a única conexão óssea entre o ombro e o tronco. A articulação é sustentada por dois grupos de ligamentos: os ligamentos […]
Luxação do cotovelo
O que é a luxação do cotovelo? A luxação, em termos médicos, é definida como a “perda do contato articular”. Isto é, a separação de dois ossos que costumam estar em íntimo e contínuo contato por meio de uma área lisa e deslizante, chamada de cartilagem. A articulação do cotovelo tem um formato que dificulta […]
Luxação do ombro
O que é a luxação do ombro? A luxação, em termos médicos, é definida como a “perda do contato articular”. Isto é, a separação de dois ossos que costumam estar em íntimo e contínuo contato por meio de uma área lisa e deslizante chamada de cartilagem. A luxação do ombro ocorre quando uma força extrema […]
Luxação acrômio-clavicular

Ocorre frequentemente em traumatismos quando o paciente cai sobre o ombro. Comum em esportes como judô, ciclismo e futebol. A articulação entre a clavícula e o acrômio é estabilizada por dois conjuntos de ligamentos: um entre o acrômio e a clavícula e outro entre a clavícula e o processo coracoide. A luxação acromioclavicular pode ser […]
Luxação e instabilidade do ombro

As luxações podem ser anteriores, posteriores ou para baixo, sendo a luxação anterior a mais freqüente. Quando a luxação é incompleta (perda parcial do contato) chamamos de subluxação. Após uma luxação, a cápsula e os ligamentos da articulação do ombro podem ter ficados lesionados e rompidos, permitindo repetidas luxações a qualquer grau de força. A […]
